Whittlesey Dental Care, located in the beautiful village of Whittlesey, offers expert implant treatments. Whether you’re in Whittlesey or Peterborough, we’re here to help restore your smile with safe, long-lasting results. Book now!
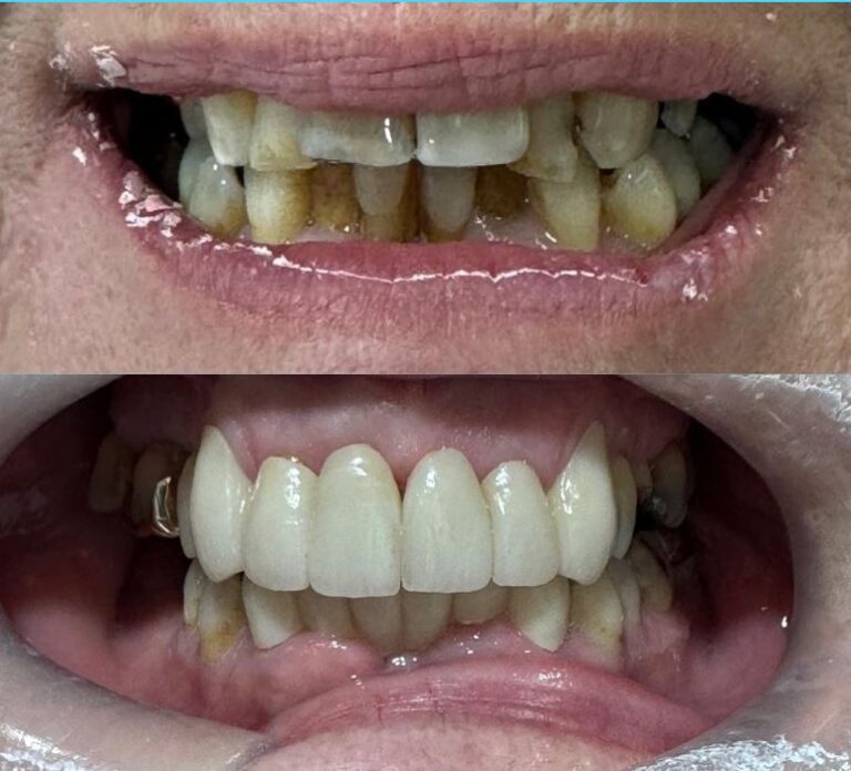
At Whittlesey Dental Care, we’re dedicated to restoring smiles through advanced & affordable dental implants solutions. Whether you’re missing one tooth, multiple, or need a full-mouth restoration, our expert team provides personalized, high-precision care using state-of-the-art, computer-guided technology.
We offer free consultations, customized treatment plans, and a comfortable experience from start to finish. Our goal is simple: to help you eat, speak, and smile with confidence—every day.
A single dental implant is the most natural, long-lasting way to replace a missing tooth - no bridges or damage to nearby teeth. Regain full function and a confident smile with a secure, permanent solution.
Whether you’re missing a few teeth in a row or scattered throughout your mouth, multiple implants offer stability, comfort, and improved oral health. No need for removable dentures—just strong, natural-looking replacements.
A more confident and youthful appearance with a smile that’s several shades brighter.






The health of your teeth and gums affects more than just your mouth. Your overall health, as well as your heart health, can worsen due to poor oral health. That is why it is so important to take care of your smile and ensure you are brushing, flossing, and making regular appointments with our dentist.
PAY AS YOU GO £50 DPAS – DENTAL CARE PLAN £50
PAY AS YOU GO £45 DPAS – DENTAL CARE PLAN no charge
PAY AS YOU GO £75 DPAS – DENTAL CARE PLAN N/A
PAY AS YOU GO £45 DPAS – DENTAL CARE PLAN Free
Implants Provide an All-Natural Feel
One of the most remarkable aspects of dental implants is their resemblance to natural teeth. The process of osseointegration creates a root, making an implant function as a natural tooth. After healing, there is no noticeable difference between an implant and other natural teeth.
Implants Can Prevent Bone Loss
After the loss or extraction of a tooth, the surrounding bone in the jaw can begin to disintegrate. As the bone is reabsorbed back into the body, a host of oral issues may present. Dental implants perform the same functions like natural teeth and can keep the bone stimulated, so further bone loss doesn’t occur.
Implants Can Preserve Your Bite
Implants Require Low Maintenance
Surrounding Teeth are Protected
enquiries@whittleseydental.com
1A Blunts Lane, Whittlesey, Cambridgeshire, PE7 1AH
Monday: 08:30 AM – 05:00 PM
Tuesday: 11:30 AM – 07:00 PM
Wednesday: 08:30 AM – 05:00 PM
Thursday: 08:30 AM – 05:00 PM
Friday:08:30 AM – 02:30 PM
Copyright © Whittlesey Dental 2025